吃粽子 可得小心!

林口县一女子“囫囵吞枣” 被3厘米枣核 卡住食道

生活报讯 (记者周琳) 端午节即将来临,很多市民喜欢吃粽子,可是,即使粽子好吃也要注意安全。5日,家住林口县的陆阿姨在吃粽子时一不小心“囫囵吞枣”了,被3厘米的枣核卡住了食道,情况特别危急,辗转来到哈医大一院后,才取出枣核,最终逃过一劫。

女子吃粽子误把枣核吞下 咽唾沫就疼

5日8时,55岁的陆阿姨吃粽子时,忽然感觉嗓子处有异物,特别痛,这才发现误把枣核吞下了。“不敢吞咽,一吞咽就特别疼……”于是,她立刻前往当地医院就诊,行喉镜检查未见异物,医生考虑枣核可能已经进入食道,建议转入上级医院治疗。

15时许,陆阿姨赶到牡丹江市某医院,此时,疼痛感愈发剧烈,医生尝试胃镜下取出异物,但由于枣核两个尖端均已嵌入食道,并未成功。无奈之下,陆阿姨和其女儿来到哈医大一院。

枣核两端极尖锐 “紧挨”主动脉大血管

21时30分,陆阿姨来到哈医大一院消化内科病房,这时距离吞入枣核已经过去了13个小时。

“陆阿姨进入病房时表情极度痛苦,难以发声,每咽一口唾沫就伴随剧烈的疼痛。”值班医生周一楠介绍道。

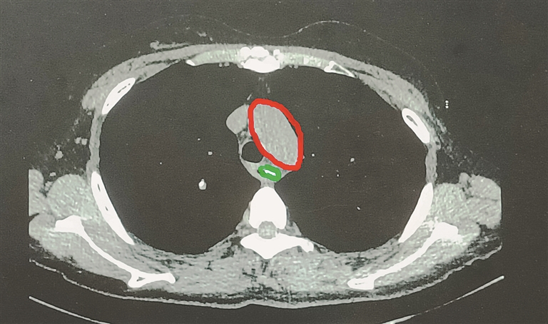
据介绍,纵隔CT可见枣核距离主动脉弓非常近,距离仅约5mm左右,一旦枣核穿破食道刺入主动脉弓就会造成患者大出血,甚至死亡。由于情况紧急,周一楠及路越医生当即联系了消化内科主任史立军,在史主任的指挥下,消化内科护士长马丽和内镜医生尹逊海、内镜护士季秀英,立即从家赶往医院,做好随时行急诊内镜治疗的准备。

“当时,枣核距离大血管距离极近,胃镜下异物取出术的风险极高。”据消化内科护士长马丽介绍,从陆阿姨进入病房到接受内镜治疗仅用了短短15分钟。

长3厘米枣核

被小心剥离食道壁取出

情况危急,陆阿姨疼痛难忍,尹逊海医生凭着多年内镜治疗的丰富经验及史主任的嘱托,小心谨慎进镜,与季秀英护士协作操控异物钳准确钳住枣核一端,轻轻将其剥离食道内壁,慢慢沿着食道管腔拉动枣核,使另一端抽离食道壁远离主动脉弓,马丽护士长轻声安慰鼓励患者。短短十分钟,一枚长约3cm,两端极其尖锐的枣核便被取了出来。

“正值端午节来临之际,在享用美酒佳肴、清甜蜜粽时,一定要细嚼慢咽,特别是关注家中老人和儿童的饮食安全。如不小心吞入异物,切不可强行咽下,妄图用米饭、馒头下噎更是万万不可取。一定要及时到医院就诊,避免异物刮伤消化道,造成消化道出血、穿孔,甚至伤及气道及主动脉而危及生命。”哈医大一院消化内科史主任提醒市民。