出血速度比输血速度还快

耄耋老人肝血管瘤破裂出血2000余毫升

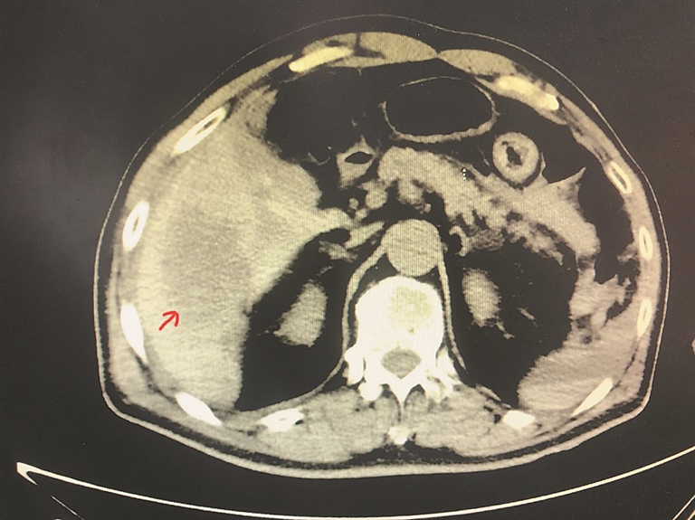
CT所示血管瘤的位置,大小约为9×7cm。

生活报讯 (记者王秋实) 家住哈市道外区的周先生已年过八旬,其肝右叶有一大血管瘤(直径约9cm),因有破裂大出血风险,医生建议手术切除。但周先生担心自己年龄大,又有脑梗,一直未选择手术治疗。近日,周先生在家中洗澡时不慎跌倒,右侧上腹剧烈疼痛,并伴有头晕,之后出现意识模糊,家人紧急叫120将其送到哈医大一院救治。

“肝血管瘤破裂、失血性休克,可能危机生命。”急诊医生紧急将周先生送入重症医学科(ICU)。经过重症医学科康凯教授、陈宁宁医生等团队医护人员的奋力抢救,输血科紧急为周先生输血,暂时保住了其性命,但肝脏仍在出血。为找到出血点止住出血,重症医学科康凯教授立即联系肝脏外科林汉教授进行会诊。

“肝血管瘤破裂出血非常凶险,患者必须紧急手术。”在迅速评估周先生病情后,肝脏外科林汉教授迅速准备,在ICU、麻醉科、手术室的全力配合下当即为周先生进行了急诊剖腹探查手术。周先生腹腔内已经出血2000余毫升,相当于他体内总血量的一半。林汉教授仅用不到两个小时就控制住出血,并将破裂的肝血管瘤切除。

术后周先生返回ICU继续治疗,生命体征稳定,血红蛋白逐渐上升。第二天早上已经苏醒,当天从ICU转入普通病房,并于五天后康复出院。

“输血的速度赶不上出血的速度,血压和血红蛋白持续下降,失血性休克无法纠正且进一步加重!”肝脏外科林汉教授回忆抢救周先生的危急时刻时感叹。

林汉教授介绍,肝血管瘤是肝脏最常见的良性肿瘤,当肝血管瘤较大、位于肝脏边缘和有临床症状的时候,需要手术切除。